У відділенні ендопротезування Івано-Франківської обласної клінічної лікарні почали застосовувати кінематичне вирівнювання. Це новітній підхід до заміни колінного суглоба, який не так давно почали застосовувати у світовій ортопедичній практиці.
Повідомляє Інформатор Івано-Франківськ з покликанням на КНП ОКЛ Івано-Франківської обласної ради.
Запровадив цей метод в обласній лікарні ортопед-травматолог Андрій Шийка.
«Метою тотального ендопротезування колінного суглоба є відновлення його функції, зменшення больового синдрому, відновлення нормальної осі нижньої кінцівки», — каже він.
Лікарі враховують анатомічні особливості кожного пацієнта для планування оперативного втручання.
«Кінематичний метод дозволяє відновити природний преартрозний кут нахилу суглобової поверхні та нормальну вісь нижньої кінцівки», — каже Андрій Шийка.
Цей метод дає можливість максимально відтворити природні рухи колінного суглоба та швидко відновити звичну манеру ходи, залучаючи кінематичну, тобто рухову памʼять пацієнта.
«Реабілітація починається вже через кілька годин після операції. Пацієнти поступово збільшують рухову активність під контролем наших фахівців, що сприяє швидшому відновленню та кращому функціональному результату», – зазначає лікар.
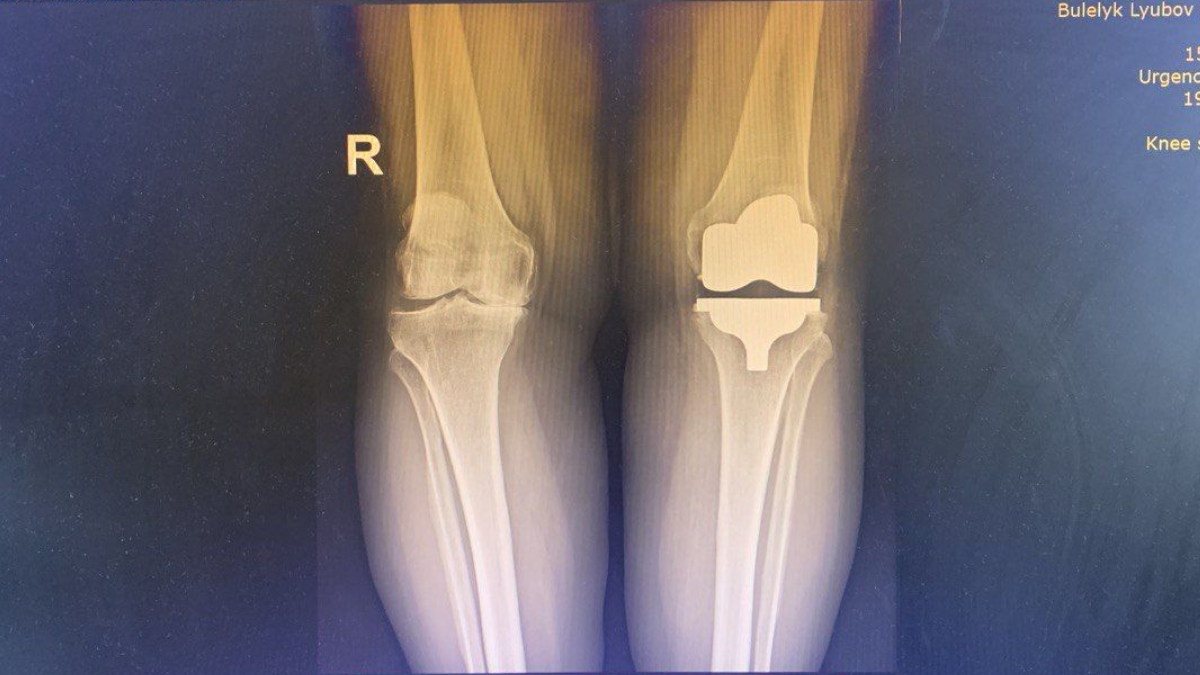
Однією з пацієнток, яку оперували зі застосуванням кінематичного методу, стала Любов Булелик із села Заріччя Делятинської громади. Жінка розповідає, що проблеми з колінами тривали роками, однак значно посилилися після коронавірусу.
У 2023 році їй підтвердили виражений артроз і рекомендували операцію. Пізніше виявлена онкологія ускладнила ситуацію. Після операції жінка пройшла курс хіміотерапії, променевої та гормонотерапії. Після гормонотерапії стан колін різко погіршився.
«Це мене так зловило, що я просто не могла вже ні ходити, ні згинати, на милицях сюди прийшла. І Андрій Іванович каже: треба оперувати. Я кажу, як треба, то я готова, бо дальше вже не можу, це вже все, фініш. Та й прооперували, я дуже задоволена», — розповідає Любов Булелик.
За словами хірурга, без оперативного втручання пацієнтка не змогла б ходити. Зараз вона успішно проходить реабілітацію: займається на доріжці, велотренажері, проходить процедури пасивного згинання й розгинання:
«Він мені розгинає так, знаєте, тягне, тягне… Я терплю, сльози на очі…але терплю», — ділиться пацієнтка і додає, що результат є, можливість ходити відновлюється.
Читати також: У Франківську хірурги провели операцію пацієнту з рідкісною патологією сонних артерій
Підписуйтесь на нас в Google новинах, щоб не пропустити головне.
Залишайтеся на зв’язку! Ми у Facebook, Instagram, Telegram.
Надсилайте свої новини нам на пошту: informator.ivanofrankivsk@gmail.com
Телефонуйте за номером 096 989 60 87
