У Богородчанській центральній лікарні військовослужбовцю провели операцію з реконструкції кістки ноги. Для цього використали сучасний матеріал – біоактивне біоскло.
Повідомляє Інформатор Івано-Франківськ з покликанням на КНП «Богородчанська центральна лікарня» Богородчанської селищної ради.
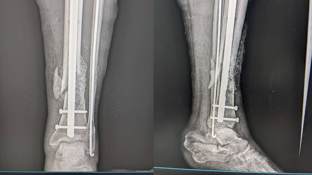
Виконано відновлення цілісності кістки із застосуванням аутокісткової пластики (власна кістка пацієнта) у поєднанні з біоактивним біосклом, повідомили в лікарні.
Такий спосіб реконструкції дозволяє:
- стимулювати регенерацію кісткової тканини;
- покращити остеоінтеграцію;
- зменшити ризик ускладнень;
- сприяти швидшому функціональному відновленню.
Використане біоскло було придбане за кошти лікарні, а травматологи-ортопеди проводили операцію з дотриманням сучасних принципів реконструктивної хірургії.
«Для нас це не просто операція — це можливість повернути захисника до активного життя та служби», – зазначили медики.
Читати також: Прикарпатцю, який пережив полон, франківські лікарі повернули можливість ходити
Підписуйтесь на нас в Google новинах, щоб не пропустити головне.
Залишайтеся на зв’язку! Ми у Facebook, Instagram, Telegram.
Надсилайте свої новини нам на пошту: informator.ivanofrankivsk@gmail.com
Телефонуйте за номером 096 989 60 87
